Introducen chips en óvulos para medir las primeras fases del desarrollo embrionario
Expertos han logrado inyectar diminutos sensores dentro de óvulos vivos que permiten medir las fuerzas que se generan desde que entra el espermatozoide hasta que el embrión se divide en dos células

El chip mide apenas 22 por 10,5 micrometros y tiene un grosor de 25 nanometros, es decir, una longitud tres veces más pequeña que el diámetro de un cabello humano.
Científicos del CSIC en el Instituto de Microelectrónica de Barcelona (IMB-CNM) y de la Universidad de Bath (Reino Unido) han creado unos chips que funcionan como sensores mecánicos y los han introducido a través de espermatozoides en óvulos de ratones para medir las primeras fases de desarrollo del feto.
Ciencia y Tecnología
Una eyaculación guarda tanta información como 7.500 portátiles
Giannella Espinoza
El chip es un sensor minúsculo que mide apenas 22 por 10,5 micrometros y tiene un grosor de 25 nanometros, es decir, una longitud tres veces más pequeña que el diámetro de un cabello humano y un grosor tres veces menor que el del virus SARS-CoV-2.
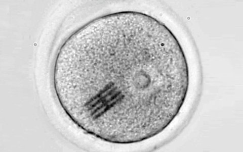
Interior del óvulo
Según publican los investigadores en la revista Nature Materials, el chip mide las fuerzas que se reorganizan en el interior del óvulo desde que se introduce el espermatozoide hasta que el embrión se divide en dos células.
El trabajo está coliderado por José Antonio Plaza, investigador del CSIC en el IMB-CNM, donde dirige el Grupo de Micro y Nanoherramientas. Los dispositivos han sido fabricados en la Sala Blanca del IMB-CNM.
Se trata de una operación hecha en el Laboratorio de Embriología Molecular de Mamíferos de la Universidad de Bath, dirigido por Anthony C.F.Perry, que codirige el trabajo junto a Plaza.
Con el chip dentro de los óvulos de los ratones, han podido medir las fuerzas que reorganizan el interior, es decir, su citoplasma, desde que se introduce el espermatozoide hasta que se divide en dos células.
"Haciendo un símil con el baile, el embrión realiza una coreografía de movimientos durante su desarrollo y hemos visto que no sólo el movimiento es importante, sino también la intensidad del mismo", ha comentado José Antonio Plaza, que explica que han podido ver con microscopio cómo el chip se dobla dentro de la célula.

El diminuto chip, cuya forma recuerda a los paneles solares de la estación espacial internacional, aunque es más fino que un coronavirus, en el interior de un óvulo.
"Dado que conocemos perfectamente qué fuerza hay que aplicar para que se doble el dispositivo de una determinada manera, y lo hemos modelizado, visualizar la curvatura nos permite inferir qué fuerzas mecánicas se están dando en el interior de la célula", ha detallado.Los científicos han hecho una medida preliminar de las fuerzas que se obtienen en la reprogramación del ADN del espermatozoide, algo que sucede justo tras la inyección del espermatozoide.
Ciencia y Tecnología
¿El coronavirus se puede curar con células madre? No te dejes engañar
Herbert Holguín
Reorganización de los cromosomas
También han observado que el efecto de la membrana del embrión, más rígida que su interior, es la responsable de que los pronúcleos (núcleos que transportan el material genético de la hembra y del macho) converjan en el centro del embrión para fusionarse.
Durante la fusión, no han detectado fuerzas, lo que podría explicarse, según los científicos, porque de esa forma se facilita la reorganización de los cromosomas. En cuanto a la división de la primera célula en dos, los científicos han visto cambios en la rigidez del citoplasma.
"Nuestros chips revelan que el citoplasma se hace más rígido, hecho que facilitaría la transmisión de las fuerzas dentro del embrión para conseguir una elongación necesaria para la división en dos células. Después, en el momento en que la célula se divide en dos, el citoplasma es menos rígido, posiblemente para facilitar la división", concretan.
Ciencia y Tecnología
¿Por qué existen ranas transparentes? Científicos resuelven este enigma
Herbert Holguín
Una contribución de este trabajo es el estudio fundamental de los primeros estadios del proceso de fertilización, que ha permitido comprobar que la mecánica del embrión de ratón en su fase inicial es similar a la mecánica de los embriones humanos.
Por eso consideran que este trabajo puede tener interés para medicina de fertilización y para estudiar enfermedades relacionadas con problemas de malformación del embrión.