Actualidad
Tuberculosis: como ganarle la guerra

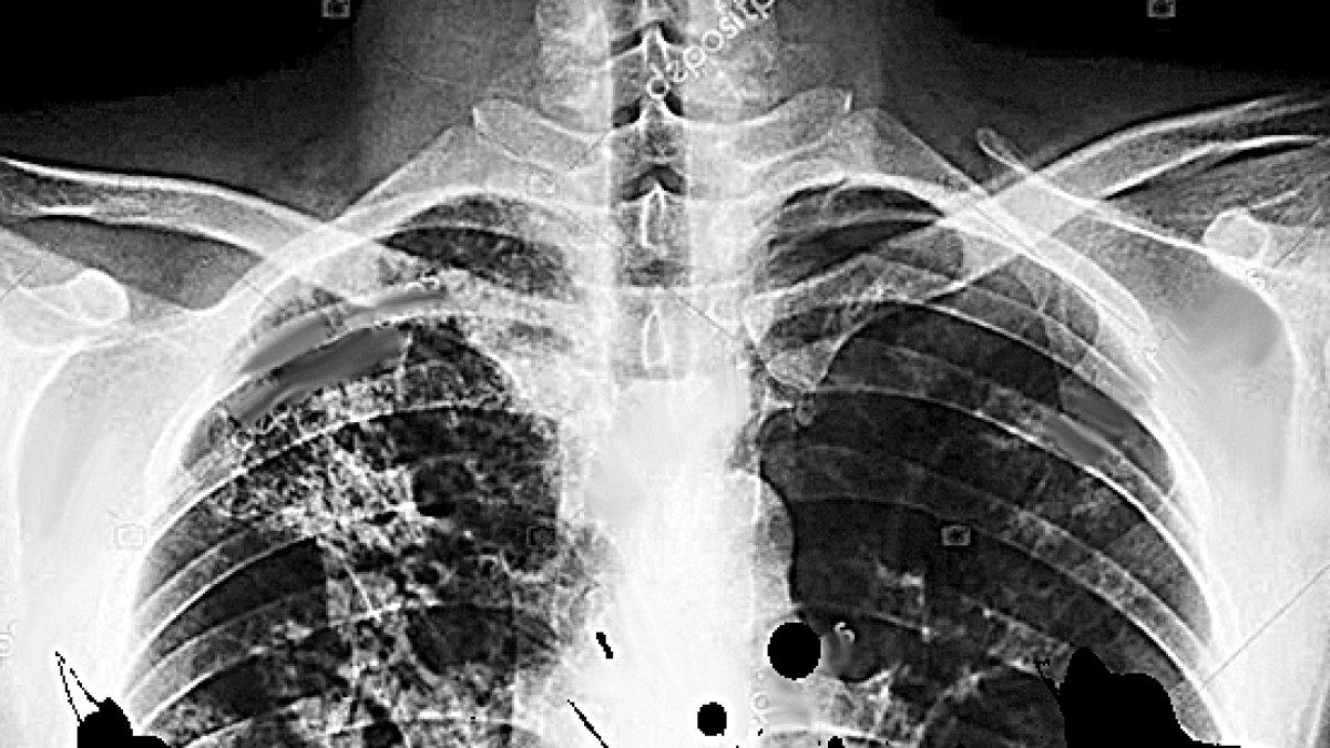
El mundo finalmente está despertando a la amenaza planteada por una de las enfermedades más subestimadas de nuestro tiempo. El mes pasado, la Asamblea General de las NN. UU. fue sede de la primera reunión de alto nivel en la historia sobre tuberculosis (TB), con el objetivo de explorar opciones para los esfuerzos de erradicación internacional. El camino para vencerla empieza en África; un cuarto de todas las muertes por TB a nivel mundial ocurren allí. En 2016, unas 417.000 personas sucumbieron a la enfermedad. Brotes recientes resistente a múltiples drogas y de TB extremadamente resistente a las drogas en Sudáfrica, Mozambique y Ghana podrían elevar más el total de muertes anuales. Estos bolsones de la bacteria, hoy completamente inmune al tratamiento antimicrobiano, implican que el desafío de la erradicación global sea todavía más desalentador. Parte del motivo de la persistencia de la TB es la vulnerabilidad de las poblaciones a las que infecta. Está entre los principales responsables de la muerte de personas VIH positivas y la causa de muerte de alrededor del 40 % por VIH, lo que plantea peligros para los pacientes que no lo tienen (inmunodeprimidos, niños pequeños y bebés). La erradicación también es difícil porque la TB es una bacteria sumamente contagiosa que se propaga por el aire. La gente que vive y trabaja en espacios cerrados -como mineros, presos, migrantes y refugiados- sufren las tasas más altas de infección. La prevalencia de la TB está estrechamente asociada a la pobreza y a la marginación social, y llegar a quienes están más en riesgo no es fácil. Las enfermedades infecciosas no tienen fronteras y en la medida que los países africanos profundicen sus vínculos comerciales y crezca la migración al interior de África, la amenaza de una pandemia regional aumentará. África debe comenzar a desarrollar una estrategia integrada de múltiples sectores para contener, controlar y erradicar los desafíos a la salud pública como la TB. Los gobiernos africanos podrían emular la estrategia de gestión del sector minero, un plan interinstitucional diseñado en 2014 por la Comunidad de Desarrollo de África Austral. Antes de acordar un marco específico requieren atención urgente los planificadores de atención médica y que los especialistas en enfermedades de África fijen objetivos de contención a nivel local, regional y por país. Para terminar completamente con la TB, África necesitará nuevos compromisos financieros sostenidos de parte del sector público y privado, y diseñar estrategias de control de la enfermedad para sustentar las prioridades económicas y de atención médica de las Comunidades Económicas Regionales. Los responsables africanos de las políticas deben desarrollar sistemas para prevención, diagnóstico y atención que ayuden a los gobiernos a compartir la carga de la enfermedad y garantizar que los protocolos de tratamiento sean consistentes en las diferentes regiones. Existen algunas tendencias positivas en la lucha contra la TB. Tasas de infección globales cayendo y que la OMS y la Unión Africana estén empezando a generar hojas de ruta para la erradicación de la TB. Aun así, sustentar este progreso en África exigirá una coordinación regional significativa y mucho dinero. Incluso aquellos africanos lo suficientemente afortunados como para obtener el tratamiento -seis a ocho meses de antibióticos fuertes- todavía enfrenta una posibilidad del 20 % de recaída. El objetivo de erradicar la TB está a nuestro alcance, pero debemos recordar que en África la batalla está lejos de haber acabado.